Dental Implants in North Oaks, MN
Restoring Smiles. Rebuilding Health.
- Prosthodontist-led care for lasting results
- Full-service implant dentistry
- Advanced technology for comfort and precision
- 300+ 5-star Google reviews

Ready to Begin Your Implant Journey? Start With a Personalized Consultation
Replacing missing or damaged teeth is a big decision, and the first step should feel simple and supportive. During your consultation, Dr. Lexi Lippe will learn about your goals, evaluate your oral health, and explain every option in clear, honest terms. You’ll leave with a plan built just for you, reflecting your needs, timeline, and long-term wellness.
Prefer to start from home? You can begin with a Smile Virtual consultation to share photos and discuss possibilities before visiting our North Oaks office. Every part of your experience is designed to make you feel comfortable, informed, and confident about your next steps.
Dr. Lexi Lippe on How Dental Implants Work
Dr. Lexi Lippe explains how dental implants replace missing or damaged teeth with strong titanium roots and custom porcelain restorations that are designed to look and feel completely natural.
Exploring Your Tooth Replacement Options
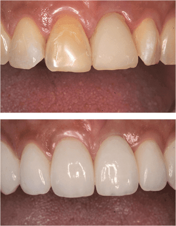
Brent’s Smile Makeover Results

Dental implant procedures are an excellent solution for many patients at our North Oak dental office, but depending on your needs, other treatments may be part of a complete plan to restore your smile and health. Our aesthetic prosthodontist, with a special focus on full-mouth reconstruction, will design a plan tailored to your goals and long-term well-being.
Dental Crowns
If you have a tooth that’s damaged but has a healthy foundation, a traditional dental crown can restore its strength and appearance. Crowns blend with your natural teeth and protect against further damage, helping you maintain a strong smile without extraction or implants.
If the tooth is too damaged for repair, however, we can easily replace it from root to tip with an implant-supported crown.
Dental Bridges
When you’re missing one or more teeth in a row, a dental bridge can provide a stable solution. Supported by neighboring teeth or implants, bridges restore your bite, prevent shifting, and maintain the aesthetics of your smile with minimal disruption.
Implants are considered a superior support for bridges because they maintain a strong, dense jawbone and leave nearby teeth intact.
Full-Mouth Reconstruction
For patients with more complex needs, full-mouth reconstruction may be the best approach. Combining dental implants, crowns, bridges, dentures, and other techniques, FMR rebuilds function, balance, and aesthetics.
Full-Arch Solutions With All-on-4 and All-on-X
Our dentist in North Oaks, MN, offers advanced full-arch dental implant options like All-on-4® and All-on-X. These treatment plans use fewer implants to support a complete set of prosthetic teeth, restoring your smile’s strength, function, and appearance with fewer surgical procedures and faster results.


Investing in a Smile That Lasts
The True Value of Dental Implants in North Oaks
Your dental implants are more than a cosmetic upgrade. They are a long-term investment in your health, confidence, and comfort. Because every step of treatment is completed in-house by Dr. Lexi Lippe, an aesthetic prosthodontist, you’ll benefit from a seamless experience and results designed for lasting stability.
While implant dentistry can require more upfront cost than other options, patients find the value unmatched. Implants protect bone structure, preserve facial balance, and eliminate the ongoing expenses of replacement bridges or dentures.
Our North Oaks practice is fee-for-service, but we make advanced care accessible with flexible financing through CareCredit® and LendingClub, as well as cash discounts for larger treatment plans. We can also help you navigate reimbursement with your insurance provider so your investment supports both your smile and your health for years to come.

Frequently Asked Questions About Dental Implants in North Oaks
How long do dental implants last?
With proper care, dental implants can last decades or even a lifetime. Dr. Lippe designs and restores each implant with long-term balance and function in mind, helping protect both your smile and your overall health.
Are dental implant procedures painful?
Most patients are surprised by how comfortable the process feels. Advanced technology, guided placement, and gentle techniques help minimize discomfort during and after treatment. Many patients return to normal activities within a day or two.
Can I get dental implants if I’ve worn dentures for years?
Yes. Even if you’ve experienced some bone loss, options like All-on-4 and All-on-X can restore stability and comfort without extensive grafting.
Why choose a prosthodontist for dental implants?
As a prosthodontist, Dr. Lippe specializes in restoring form, function, and aesthetics. Her expertise ensures every implant supports long-term health, not just appearance.
Have other questions about dental implants?
Skill, Care, and Service That Go Beyond Expectations
“Dr. Lippe and her staff are the example of excellence in dentistry and service! You are in the hands exemplar skill, care and service. I give more stars⭐️⭐️⭐️⭐️⭐️⭐️⭐️⭐️⭐️⭐️ than I am allowed! Thank you!!!” - Jessica, 5-Star Review


